Best Non Gamstop CasinosNew Betting Sites Uk 2025Non Gamstop Online Casinos 2025Best Non Gamstop CasinosBest Non Gamstop Casinos UK

VIARTIS

 

PARKINSON'S DISEASE

 

 

 

 

 

 

PARKINSON'S DISEASE NEWS

 

 

 

 

 

 

 

 

 

 

 

 

 

 

 

 

JUNE 2014

 

29th June 2014 - New research

COMPARISON OF L-DOPA, AGONISTS AND MAO INHIBITORS

Lancet [2014] Jun 10 [Epub ahead of print] (Pd Med Collaborative Group)  Complete abstract

Whether the initial treatment for Parkinson's disease should consist of L-dopa, dopamine agonists, or MAO B inhibitors is uncertain. So researchers aimed to establish which of these three classes of drug, as initial treatment, provided the most effective long-term control of symptoms and best quality of life for people with early Parkinson's Disease.

People newly diagnosed with Parkinson's disease were randomly assigned between the use of L-dopa, dopamine agonists and MAO B inhibitors. After three years PDQ-39 mobility scores averaged 1�8 points better in people assigned to L-dopa. PDQ-39 mobility scores were 1�4 points better in people assigned to MAO B inhibitors when compared to those taking dopamine agonists. L-dopa was not significantly advantageous for EQ-5D utility scores, dementia, admissions to institutions, and death rates. Treatments were discontinued in 28% of those taking dopamine agonists, 23% of those taking MAOB inhibitors, but only 2% of those taking L-dopa.

Small but persistent benefits are shown for patient-rated mobility scores when treatment is initiated with L-dopa compared with dopamine agonists and MAO B inhibitors. MAO B inhibitors were found to be at least as effective as dopamine agonists. L-dopa is also clearly more tolerable. In order to refer to this article on its own click here

FOR A PRINTABLE OR WHITE BACKGROUND VERSION OF THIS ARTICLE CLICK HERE

 

21st June 2014 - New research

CIRCADIAN RHYTHMS IN PARKINSONS' DISEASE

JAMA Neurology [2014] 71 (4) : 463-469 (A.Videnovic, C.Noble, K.J.Reid, J.Peng, F.W. Turek, A.Marconi, A.W.Rademaker, T.Simuni, C.Zadikoff, P.C.Zee)  Complete abstract

People with Parkinson's Disease have been found to have blunted circadian rhythms. Circadian rhythms are the alterations of endocrine functions that take place in a regulated manner over a roughly 24 hour period. The pineal gland produces melatonin, which is a hormone that regulates the circadian rhythms. For more information go to  Circadian rhythms

The differences and the range of secretion of melatonin from the pineal gland were found to be lower in Parkinson's Disease than in people that do not have Parkinson's Disease. Overall Parkinson's Disease symptoms and duration of symptoms were not significantly related to the circadian rhythm. So it was only daytime sleepiness and not Parkinson's Disease symptoms generally that are affected by the blunted circadian rhythm that can occur in Parkinson's Disease. Dopamine regulates melatonin secretion. Therefore, the reduced dopamine that occurs in Parkinson's Disease will lead to an altered circadian rhythm.

Circadian dysfunction can consequently underlie excessive sleepiness in Parkinson's Disease. Approaches aimed to strengthen circadian function, such as timed exposure to bright light and exercise, might therefore serve as complementary therapies for the nonmotor manifestations of Parkinson's Disease. In order to refer to this article on its own click here

FOR A PRINTABLE OR WHITE BACKGROUND VERSION OF THIS ARTICLE CLICK HERE

 

9th June 2014 - New research

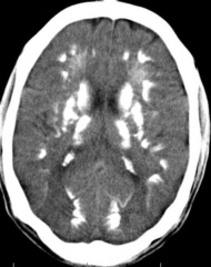
FAHR'S SYNDROME IS A CAUSE OF PARKINSON'S DISEASE

Journal of the College of Physicians and Surgeons - Pakistan [2014] 24 (5) : S104-S106 (N.Dildar, H.Akram, I.M.Qasmi, M.N.Qureshi, S.Khan)  Complete abstract

Fahr's Syndrome is a rare inherited neurological disorder that can present with a wide spectrum of symptoms, including those of Parkinson's Disease. It is characterised by abnormal deposits of calcium in areas of the brain that control movement, including the basal ganglia and the cerebral cortex. For more information go to Fahr's Syndrome

Symptoms of Fahr's Syndrome that are similar to those of Parkinson's Disease may include deterioration of motor function, dementia, dysarthria (poorly articulated speech), tremors, muscle rigidity, a mask-like facial appearance, shuffling gait, and a "pill-rolling" motion of the fingers. These symptoms generally occur later in the development of the disease.

More common symptoms of Fahr's Syndrome include dystonia (disordered muscle tone) and chorea (involuntary, rapid, jerky movements). The age of onset of Fahr's Syndrome is typically in the 40s or 50s, which is similar to Parkinson's Disease, although it can also occur at any time in childhood or adolescence.

Due to the possible similarity of symptoms to those of Parkinson's Disease, Fahr's Syndrome should be considered as an important differential diagnosis in cases of Parkinsonism. In order to refer to this article on its own click here

FOR A PRINTABLE OR WHITE BACKGROUND VERSION OF THIS ARTICLE CLICK HERE

 

  GO TO MAY 2014  

  

  GO TO CURRENT NEWS  
 
 
�2006-2014 Viartis
 
[email protected] 

More great reads